CABINET DENTAIRE DU DOCTEUR
GUICHARD
CHIRURGIEN-DENTISTE À LE FOSSAT
Accueil
Le cabinet
Plan d'accès
Urgences
Vidéos
Fiches Conseils
CONTACT
Accueil
Le cabinet
Plan d'accès
Urgences
Vidéos
Fiches Conseils
CONTACT
CABINET DENTAIRE DU DOCTEUR
GUICHARD
CHIRURGIEN-DENTISTE À LE FOSSAT
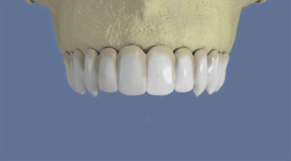
Maxillaire : bridge vissé sans fausse gencive
Vidéos 3D
Partager
Twitter
Partager
Partager
Envoyer
Copier
CABINET DENTAIRE DU DOCTEUR GUICHARD
8 route de toulouse
09130
LE FOSSAT
+33561685776
Politique de confidentialité et charte cookie
Mentions légales
Conditions Générales Utilisation
INTÉRÊTS D'UN TRAITEMENT ORTHODONTIQUE
ALIMENTS : ALLIÉS ET ENNEMIS
LES DIFFÉRENTS TYPES DE PROTHÈSES DENTAIRES
POURQUOI L'EXCÈS DE SUCRE EST-IL MAUVAIS POUR LES DENTS ?
Rechercher dans le blog Blog
Création par
Connexion
Vidéo en cours de lecture